
The Kitchen Journal
Welcome to our kitchen journal—a space dedicated to sharing real-life IVF stories and experiences from patients, embryologists, nurses, and physicians. Here, you’ll find unique insights, personal journeys, and lessons you won’t find in generic online resources. It’s a place to connect, learn, and explore the human side of IVF.

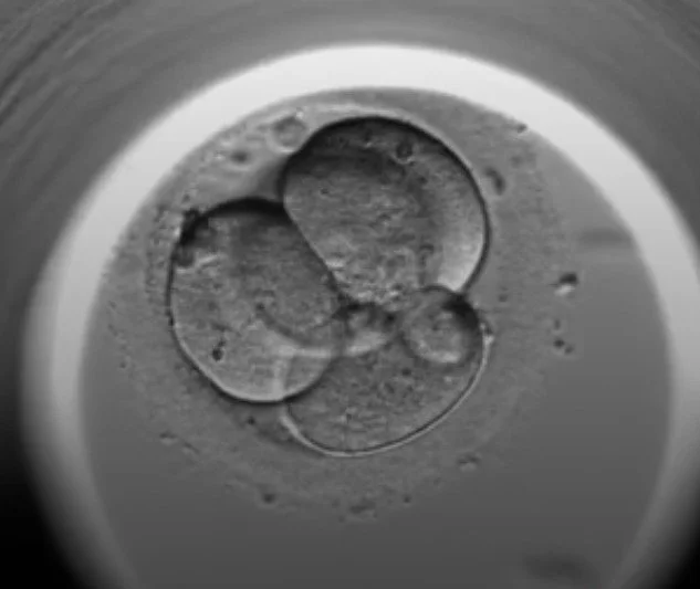
Embryo Grading Made Simple: The Gardner Grading Scale
Embryo grading can sound confusing, but understanding the numbers can help you make informed decisions during IVF. Labs use grading systems to assess embryo quality and predict the likelihood of implantation. This guide breaks down what those numbers and letters mean—and what they really say about your chances of success.

How Lifestyle Affects IVF Success: Diet, Exercise, and Stress Management
Your lifestyle choices can play a major role in the outcome of your IVF journey. From eating a balanced diet to managing stress and staying active, small changes can make a big difference. This guide explores how diet, exercise, and mental health can impact your IVF success and what steps you can take to boost your chances.
How IVF Labs Minimize the Risk of Embryo Mix-Ups and Errors
IVF labs follow strict protocols to ensure each embryo is accurately tracked and safely handled—but how do they prevent mix-ups and errors? From advanced labeling systems to double verification processes, every step is designed to protect patients and their embryos. This guide takes you inside the lab to show how safety and precision are prioritized at every stage

From Embryo Storage to Embryo Donation: What Happens to Unused IVF Embryos?
Not all embryos created during IVF are used right away—so what happens to the extras? From long-term storage to donation for research or other families, there are several options for unused embryos. This guide explores the choices, ethical considerations, and next steps for embryos left after IVF.

Rescue ICSI: Can It Save an IVF Cycle with Immature Eggs?
Rescue ICSI is a technique used when eggs don’t fertilize as expected during IVF—but can it work on immature eggs? While it offers a second chance at fertilization, timing and egg maturity are critical for success. This guide dives into how rescue ICSI works and whether it can help salvage an IVF cycle with immature eggs.

What Happens to Immature Eggs in IVF? Can They Be Saved or Used Later?
Immature eggs are often retrieved during IVF, but what happens to them next? While they typically can’t be used right away, some may be matured in the lab through a process called in vitro maturation (IVM). This guide explores whether immature eggs can be saved, matured, or used in future IVF cycles.

Can Immature Eggs Fertilize? How Oocyte Maturity Shapes Your IVF Results
Egg maturity plays a crucial role in IVF success, but can immature eggs still fertilize? While some may develop with special lab techniques, maturity is key to healthy embryo development. This guide explores how oocyte maturity impacts fertilization and what it means for your IVF results.

Can You Still Get Pregnant with Poor Egg Quality? IVF Realities Explained
Poor egg quality can make conception more challenging, but does it mean pregnancy is impossible? With IVF advancements, there are still options to improve your chances of success. This guide breaks down the realities of IVF with poor egg quality and what hopeful parents need to know.

How Long Can Eggs Survive in Culture? In Vitro Maturation (IVM) Time Limits & Egg Viability
Once retrieved, eggs have a limited time to mature and remain viable in the lab. Understanding in vitro maturation (IVM) time limits is crucial for optimizing fertilization success. This guide explores how long eggs can survive in culture and what factors influence their viability in IVF.

Decoding Egg Maturity: How Labs Classify MII, MI, and GV Stage Oocytes
Not all eggs are ready for fertilization—embryologists classify them into different maturity stages: MII, MI, and GV. But what do these classifications mean, and why do they matter for IVF success? This guide breaks down egg maturity stages and how they impact your fertility treatment.

What Is Egg Quality, and How Can It Be Measured in the IVF Lab?
Egg quality is one of the most important factors in IVF success, but how is it determined? In the lab, embryologists assess eggs based on maturity, appearance, and genetic health to identify the best candidates for fertilization. This guide explores what egg quality means, how it’s measured, and why it matters for your fertility journey.

What Is Ovarian Aging? Understanding Diminished Ovarian Reserve in IVF
Ovarian aging is a natural process, but it can impact fertility and IVF success. Diminished ovarian reserve means fewer eggs and potentially lower quality, making conception more challenging. This guide explains what ovarian aging is, how it affects IVF, and what options are available to improve your chances of success.

IVF Injections Suck: Tips for Pain Management and Preparation for Painless Shots
IVF injections can be intimidating, but with the right preparation, they don’t have to be painful. From choosing the best injection sites to tips for reducing discomfort, this guide offers practical advice to help make your shots as easy as possible. Get ready to tackle your IVF journey with confidence and less stress!

Pregnancy Support Medications: Ensuring Uterine Preparedness After Embryo Transfer During the Luteal Phase
Preventing premature ovulation is crucial for the success of egg retrieval in IVF. Special medications help control your cycle and ensure eggs are retrieved at the perfect time for fertilization. This guide explains how these medications work and why they’re essential for maximizing your chances of IVF success.

Medications for Preventing Premature Ovulation: Ensuring Success in Egg Retrieval Timing and IVF
Medications to prevent premature ovulation are key to ensuring your egg retrieval happens at the optimal time during IVF. These drugs help control your cycle and prevent ovulation from occurring too early, giving your eggs the best chance for success. This guide breaks down how these medications work and why timing matters in IVF.

Ovulation Trigger Medications: Final Egg Maturation and Ovulation Trigger
Ovulation trigger medications are essential in IVF, helping to complete the final maturation of eggs and trigger ovulation at the perfect time. But how do these medications work, and what should you expect during this crucial phase? This guide explains the role of ovulation trigger medications and their importance in ensuring a successful IVF cycle.

Follicle Stimulating Hormones (FSH) for the Ovaries: A Guide to the Fertility Drug World
Follicle Stimulating Hormone (FSH) is a key player in fertility treatments, helping the ovaries produce mature eggs for IVF. But how does it work, and what should you expect when taking FSH medications? This guide explores the role of FSH in IVF, its benefits, and potential side effects to help you navigate the fertility drug world with confidence.

IVF Medications: What Am I Taking and What Does It Do?
IVF medications play a crucial role in the success of your treatment, but understanding what you’re taking—and why—can feel overwhelming. From stimulating egg production to preparing your body for embryo transfer, each medication has a specific purpose. This guide breaks down common IVF drugs and how they support your fertility journey.

Ethical Considerations in Oocyte and Sperm Donation
Oocyte and sperm donation offer incredible opportunities for building families, but they also raise important ethical questions. From donor anonymity to the rights of donor-conceived children, these considerations can be complex. This guide explores the key ethical issues in gamete donation to help patients and donors make informed decisions.

Embryo Donation: The New Adoption Method
Embryo donation is an increasingly popular path to parenthood, offering a unique alternative to traditional adoption. This method involves adopting embryos created by others and giving them a chance to develop into a family. This guide explores the process, benefits, and emotional aspects of embryo donation as a new form of adoption.