Oocyte Grading and Assessment

WHAT IS OOCYTE ASSESSMENT

Oocyte assessment is the process of evaluating eggs under a microscope to check their maturity, quality, and overall health before fertilization. Embryologists look for key features like the presence of a polar body, cytoplasm appearance, and overall structure to determine the best chances for successful fertilization.

STANDARD OOCYTE ASSESSMENT TIMELINE

Day 0

  • Retrieval: Cumulus oocyte-complex (COC) is collected from follicular fluid and separated from granulosa cells

  • Culture: COCs are cultured in the incubator for 2 hours to adjust to the different environment

  • Denuding: COCs are denuded or stripped of their cumulus cells to allow for oocyte identification

  • Assessment: Oocytes are assessed under high-power magnification microscopes for maturity and quality

THE OOCYTE GRADING PROCESS

An oocyte, or egg cell, is the female reproductive cell that is fertilized to become an embryo. When the oocyte is retrieved, it is surrounded by thousands of cumulus cells that need to be stripped before oocyte assessment. Denuding the oocyte allows for a clear evaluation of the egg maturity. Embryologists assess the oocyte under a microscope, checking its maturity by the presence of a polar body, evaluating cytoplasmic appearance, and noting any structural irregularities that may impact fertilization potential. Oocyte grading is always done on Day 0.

  • Germinal Vesicle (GV): Immature egg with a visible nucleus (germinal vesicle), not yet ready for fertilization

  • Metaphase I (MI): Partially matured egg that has begun meiosis and has no visible polar body

  • Metaphase II (MII): Fully matured egg that has finished meiosis with a visible polar body, ready for fertilization (required for ICSI or conventional insemination)

  • Degenerated: An egg that has poor structure or is breaking down, making it non-viable.

  • Parthenogenetic: An unfertilized egg that begins to divide and develop without sperm, typically resulting in abnormal or non-viable embryo development

  • Abnormally Developed: An egg with irregular characteristics, such as vacuoles or dark cytoplasm, which may impact fertilization potential

Day 0 Oocyte Grading

Germinal Vesicle (GV)

A close-up of a circular object, possibly a cell or a similar biological specimen, with textured surface and shading.
Diagram of an oocyte showing the nucleolus, germinal vesicle, and oocyte structure.

A human egg cell under a microscope, surrounded by small surrounding cells.

Metaphase I (MI)

Diagram of an oocyte inside a circular boundary, labeled 'Oocyte' with an arrow pointing to it.

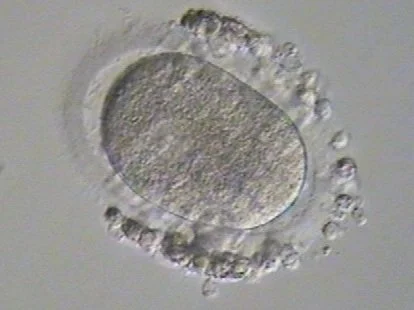
Metaphase II (MII)

Microscopic image of a human egg cell, ovum, surrounded by cumulus cells.
Diagram of an ovum showing the polar body at the top and the oocyte as the large circular cell.

Microscopic view of a human egg cell surrounded by smaller cell structures on a pink background.

Degenerated


Microscopic view of a human egg cell with a polar body attached.

Parthenogenetic

Diagram of two cells, one larger and one smaller, with arrows indicating the smaller cell is inside the larger cell.

Microscopic view comparing a giant egg cell and a normal egg cell.

Abnormal

Close-up of a circular object, possibly a coin, with a worn surface.
A microscopic image of an ovum surrounded by smaller cells.

THE IMPORTANCE OF THE OOCYTE ASSESSMENT PROCESS

The oocyte assessment process is crucial for determining the quality and developmental potential of an embryo. It all begins with analyzing the cumulus-oocyte complex (COC), which provides insight into the oocyte’s maturation status and overall health. By assessing factors such as meiotic stage, cytoplasmic appearance, and cumulus cell integrity, embryologists can make informed decisions about fertilization strategies, such as ICSI vs. conventional insemination. Additionally, understanding oocyte quality helps predict embryo development potential, guiding the selection of the best embryos for transfer or cryopreservation. This early assessment plays a pivotal role in optimizing IVF success rates and improving patient outcomes.

Key Terms

  • Cumulus Oocyte Complex (COC): The oocyte surrounded by cumulus cells, which support maturation and communication

  • Cumulus Cells: Specialized cells surrounding the oocyte that provide metabolic support and influence maturation

  • Granulosa Cells: Cells lining the follicle that produce hormones and nurture the developing oocyte

  • Cytoplasm: The internal content of the oocyte, where mitochondrial activity and metabolic processes occur

  • Zona Pellucida: The glycoprotein layer surrounding the oocyte, playing a key role in fertilization and embryo protection

  • Polar Body: A small byproduct of meiosis that indicates the oocyte’s maturity and chromosomal status

  • Perivitelline Space: The gap between the zona pellucida and oocyte cytoplasm, which may contain the polar body and debris

  • Spindle: The microtubule structure responsible for proper chromosome alignment and segregation during meiosis.

  • Cell Membrane: The outer layer of the oocyte that regulates ion exchange, signaling, and interaction with sperm during fertilization.